Teeth Braces Before and After

Teeth Braces Before and After: What You Need to Know
Are you thinking about getting braces? What might your smile look like before and after treatment?
You’re not alone — and you’re in the right place. At Dr. White Dental Care, we speak with patients every day who are excited, hopeful, and sometimes a little nervous about beginning their journey with braces. Whether you’re dealing with crowded teeth, gaps, or bite issues, it’s completely normal to have questions and even some hesitations.
The great news is that braces can do much more than just straighten your teeth. They can completely transform your smile, boost your self-confidence, and even improve your overall oral health. A properly aligned bite can make everyday tasks like chewing, speaking, and brushing significantly easier and more effective.
Braces are no longer just for teenagers, either — people of all ages are choosing orthodontic treatment to improve both function and appearance. Thanks to modern advancements, today’s braces are more comfortable, more discreet, and more effective than ever before.
In this easy-to-follow guide, we’ll take you step by step through what to expect before, during, and after getting braces:
- What your first appointment looks like
- How braces are applied
- Tips for living with braces
- What happens when they come off, and the life-changing results that follow
What Are Braces and Why Do People Get Them?
Braces are orthodontic devices designed to gradually move your teeth into better alignment. They apply gentle, continuous pressure to your teeth over time, encouraging them to shift into their ideal position. This process not only helps straighten crooked or crowded teeth but also corrects bite problems such as overbites, underbites, and crossbites.
Braces work by using a combination of brackets, wires, and sometimes rubber bands that are adjusted regularly by your orthodontist. As your teeth move, the supporting bone in your jaw adapts, helping to create a new, more balanced bite and a beautifully aligned smile.
Beyond improving the appearance of your teeth, braces also support better oral health. Straighter teeth are easier to clean, reducing the risk of cavities, gum disease, and jaw pain caused by misalignment. In short, braces are more than a cosmetic solution — they’re an investment in your long-term dental health and overall well-being.
Why Get Braces?
- To straighten crooked or crowded teeth
- To fix bite issues like overbites or underbites
- To improve your smile and overall dental health
- To make brushing and flossing easier









Braces Cost in Madinaguda & Nizampet
Type of Braces | Starting Price (INR) | Features |
---|---|---|
Metal Braces | ₹25,000 – ₹45,000 | Most affordable, highly effective for all age groups |
Ceramic Braces | ₹40,000 – ₹70,000 | Tooth-colored brackets for less visibility |
Self-Ligating Braces | ₹50,000 – ₹80,000 | Fewer adjustments needed, faster treatment |
Lingual Braces | ₹70,000 – ₹1,20,000 | Hidden behind teeth, completely invisible |
Invisalign (Clear Aligners) | ₹80,000 – ₹3,00,000 | Removable, comfortable, virtually invisible |
How Do Braces Work?
Braces use a system of brackets, wires, and rubber bands to gently shift your teeth into place over time. With each adjustment, your teeth and jawbone adapt to their new positions. This gradual movement creates a straighter smile and a healthier bite.
Modern braces are smarter and more efficient than ever, with faster treatment times, clearer options, and less discomfort than in the past.
Before Braces: What Happens First?
Before you get braces, you’ll need to visit an orthodontist — a dentist who specializes in straightening teeth.
Step 1: Your First Consultation
Here’s what usually happens at your first visit:
- The orthodontist checks your teeth and bite
- X-rays or pictures may be taken.
- You’ll talk about your options and how long treatment might take
- You can ask questions about cost, comfort, and care
Step 2: Getting Ready for Braces
Before getting your braces put on:
- Your teeth may need to be cleaned
- Cavities or other dental issues will be treated first
You’ll get tips on how to care for your teeth during treatment
First Day with Braces: A Quick Guide
When it’s time to get your braces, the process is simple and usually takes about 1–2 hours.
Here’s What Happens:
- Your teeth are cleaned and dried
- Small brackets are attached to each tooth with special glue
- A wire is placed through the brackets
- Tiny rubber bands may be added to hold the wire in place
Does It Hurt?
Not really. You might feel pressure or soreness for a few days, but it goes away quickly. Soft foods and pain relievers can help.
Braces Maintenance: What Every Patient Should Know?
Braces will become a part of your daily routine for several months — or even a couple of years — so it’s important to understand how they might affect your day-to-day life. From how you eat and brush your teeth to how often you visit the clinic, getting used to braces takes a little time and patience. But don’t worry — with the right care and support, living with braces becomes easy, and every step brings you closer to your perfect smile.
1. Regular Checkups
You’ll visit your orthodontist every 4 to 8 weeks to adjust your braces and keep everything moving in the right direction.
2. Brushing and Flossing
Good oral hygiene is super important with braces:
- Brush after every meal
- Use flossers or a water flosser to clean between teeth
- Avoid sugary and sticky foods that can get stuck in braces
3. Food to Avoid
- Gum and sticky candy
- Hard foods like nuts and popcorn
- Crunchy snacks like chips
Choose soft foods like yogurt, pasta, mashed potatoes, and smoothies — especially in the first few days after adjustments.
After Braces: The Amazing Results
Getting Your Braces Off
When your orthodontist decides your treatment is complete and your teeth are in the right place, you’ll come in for your removal appointment. Here’s what happens:
Step 1: Brackets and Wires Are Removed
Your orthodontist will gently:
- Take off the brackets and wires
- Remove any remaining glue on your teeth
- Rinse and polish your teeth so they feel clean and smooth
Step 2: Seeing Your New Smile
After cleaning, you’ll finally see your full smile, without brackets or wires. It’s one of the most exciting parts of the journey!
- You may get “before and after” photos to show your amazing transformation
- Most patients say their smile looks and feels completely different — in the best way!
- It’s a great moment to celebrate how far you’ve come.
Step 3: Final Check and Next Steps
- Your orthodontist will check your bite and tooth position one last time
- You’ll learn about the next step — wearing your retainer to keep everything in place
Wearing a Retainer
To keep your teeth in their new position, you’ll need to wear a retainer:
- Usually worn full-time at first, then just at night
- Helps prevent your teeth from shifting back
Retainers are key to keeping your new smile for life.
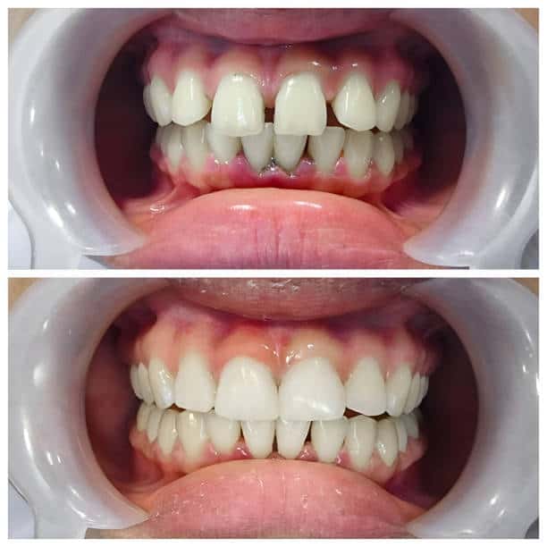
Before and After Braces: Real Results
Braces can fix a wide range of dental issues. Here are a few examples:
Crowded Teeth
- Before: Teeth overlapping, hard to clean
- After: Straight and evenly spaced
Overbite or Underbite
- Before: Teeth not lining up correctly
- After: Proper bite, better chewing, and a more balanced look
Gaps Between Teeth
- Before: Large spaces between teeth
- After: Closed gaps and a smooth, complete smile
Benefits of Braces
Braces do more than improve your smile. They can also help:
- Make teeth easier to clean, reducing cavities and gum disease
- Fix jaw pain or discomfort from bite issues
- Improve speech if misaligned teeth are causing problems
- Boost confidence in school, work, and social life
Before and After Smile Gallery
Case 1: Crowded Teeth
Before: Teeth were overlapping and hard to clean
After: Straight, evenly spaced teeth and a brighter smile

Case 2: Overbite Correction
Before: The Top teeth were sticking out over the bottom teeth
After: Balanced bite and improved jaw alignment

Case 3: Gaps Between Teeth
Before: Noticeable spaces between the front teeth
After: Gaps closed with a smooth, complete smile

Case 4: Adult Braces Transformation
Before: Crooked teeth and bite issues
After: Straighter teeth and a healthier smile

Braces for Adults
Braces aren’t just for kids and teenagers — many adults in Madinaguda and Nizampet are now getting braces to improve their smiles and fix dental problems.
Why More Adults Are Getting Braces:
1. Look Better, Feel More Confident
A straighter smile can make a big difference in your personal and professional life. Whether you’re meeting clients, on video calls, or out with friends, having a confident smile helps you feel good and leave a great impression.
2. Fix Painful Bite Problems
If your teeth don’t line up properly, it can cause:
- Jaw pain or clicking sounds
- Headaches or discomfort when chewing
- Teeth grinding at night. Braces can help fix these bite issues and make everyday life more comfortable.
3. Keep Your Teeth Healthy
Crowded or crooked teeth are harder to clean. That means:
- More plaque and food are getting stuck
- A higher chance of cavities or gum problems
- Straight teeth are easier to brush and floss, helping you avoid future dental issues.
4. Discreet Braces Options for Adults
Don’t want metal braces? No problem! Today, there are clear braces, braces behind your teeth, and clear aligners like Invisalign that are:
- Hard to see
- Comfortable to wear
- Great for busy adults who want a low-key treatment
Common Questions About Braces
Q.1 How long will I need to wear braces?
Most people wear braces for 1 to 3 years, depending on the severity of the problem.
Q.2 Are braces only for kids?
Not at all! Many adults get braces to improve their smile later in life.
Q.3 What’s the cost of braces?
Braces in India usually cost between ₹30,000 and ₹1,50,000, depending on the type of braces (metal, ceramic, lingual, or clear aligners) and how long your treatment lasts. Most dental clinics — including ours — offer flexible payment plans or EMI options to make treatment affordable and stress-free.
Q.4 Can I play sports or instruments with braces?
Yes! Just be careful and use a mouthguard when needed.
Different Types of Braces
You have options when it comes to braces:
Type | Visibility | Removable? | Best For |
Metal Braces | Visible | ❌ | Complex cases, teens, and budget-conscious |
Ceramic Braces | Tooth-colored | ❌ | Adults/teens who want discreet braces |
Lingual Braces | Behind teeth (hidden) | ❌ | Highly cosmetic but complex to adjust |
Clear Aligners | Nearly invisible | ✅ | Mild to moderate cases, adults |
Your orthodontist will help you choose what’s best for you.
Conclusion
Getting braces might feel like a big commitment — and it is — but it’s also one of the best investments you can make in your health and confidence. Braces don’t just straighten your teeth; they improve how your bite functions, make oral care easier, and enhance the way you look and feel every day.
Over time, you’ll notice your smile becoming more aligned, your teeth easier to clean, and your confidence growing with every visit. Whether you’re a teen, a working adult, or someone who’s always wanted to fix their smile, it’s never too late to start.
If you’re thinking about braces, the best first step is to talk to an experienced orthodontist. At Dr. White Dental Care, our team will walk you through every part of the process — from your first consultation to your big reveal after treatment. We’ll answer all your questions, explain your options, and make sure your journey is smooth, comfortable, and rewarding.
FAQ'S
Most people wear braces for 12 to 24 months, but it can vary depending on how complex your case is. Your orthodontist will give you a more accurate timeline during your consultation.
Braces don’t hurt when they’re put on, but you might feel some soreness or pressure for a few days after adjustments. It’s normal — soft foods and over-the-counter pain relief can help.
You can get braces at almost any age! While many patients are teenagers, more adults than ever are choosing to get braces to improve their smiles.
You’ll need to avoid sticky, hard, and crunchy foods (like chewing gum, popcorn, or hard candy) since they can damage your braces. But don’t worry — there are still plenty of delicious braces-friendly options.
Braces typically cost ₹30,000 to ₹1,50,000, depending on the type of braces and your treatment needs. We offer EMI plans and flexible payment options to make it easier for you.
You might have a slight lisp for a few days when your braces are first placed, but it goes away quickly. You can still play sports — just wear a mouthguard for protection.
You’ll get a retainer to keep your teeth in their new position. Retainers are usually worn full-time at first, then only at night. Wearing your retainer is key to maintaining your smile.
Yes! If you’re getting metal braces, you can choose from fun rubber band colors at each appointment. You can change them every time you visit!
Usually, you’ll come in every 4 to 8 weeks for check-ups and adjustments. These visits are quick and help keep your treatment on track.
Yes, but you’ll need to be a little more careful. We’ll show you how to brush around the brackets and use tools like floss threaders or water flossers to keep your teeth clean.
Don’t panic! Just call our clinic, and we’ll schedule a quick fix. In the meantime, you can use orthodontic wax to cover sharp edges and avoid discomfort.
Sometimes, if your teeth are very crowded, we may need to remove one or two teeth to make space. But this depends on your case, and we’ll only do it if necessary.
Yes! Braces can still be used with fillings, crowns, or even implants. We’ll just plan your treatment accordingly.
Definitely! We offer ceramic braces, lingual braces (behind the teeth), and clear aligners like Invisalign — all great options if you want a more discreet look.
Let us know right away. We’ll help you get a replacement retainer quickly so your teeth don’t shift back.
If you have crowded teeth, gaps, bite issues, or just want to improve your smile, a consultation is the best way to find out. Our orthodontist will do a full check-up and guide you.