Dental Fillings in Nizampet
Modern Dental Fillings: A Natural Way to Restore Damaged Teeth
- Expert Care | Stress-Free Procedures | Smart Payment Plans
Dr White Dental Care – Restore Your Smile with Expert Dental Fillings in Nizampet
Meet Our Implantologist
Dr Sri Lakshmi – Best Dentist in Nizampet
- Dental Surgeon | Implantologist | Orthodontist | BDS
- Over a Decade of Experience – More than 10 years of helping patients with all types of dental filling needs.
- Personalised Treatment Plans – Every filling is tailored to match your tooth shape, bite, and aesthetic preferences.
- Natural Look and Comfort – We use tooth-coloured materials that blend in beautifully to create a healthy, confident smile.
- Trusted Results – Over 1,000 successful fillings completed with strong, long-lasting outcomes and happy patients.
Who Needs Dental Fillings?
You may need a dental filling if you experience any of the following:
- Cavities or tooth decay Visible spots, holes, or softened areas on a tooth are the most common reasons for a filling.
- Tooth sensitivity Discomfort when consuming cold, hot, sweet, or acidic foods often indicates early decay.
- Pain or discomfort while chewing A damaged or decayed tooth can cause pressure pain or sharp twinges when biting into food.
- Food is getting stuck repeatedly in one area. This often means a cavity has formed or an old filling has worn down.
- Chipped or fractured teeth Minor cracks or breaks can be repaired with a filling to restore strength and function.
- Worn or eroded enamel Grinding, acidic foods, or aggressive brushing may wear down enamel, making a filling necessary for protection.
- Old or leaking fillings Existing fillings may weaken over time, allowing bacteria to enter and requiring repair or replacement.
- Visible discoloration Brown or black spots on a tooth can indicate underlying decay that needs restoration.
Common Signs of a Cavity
- Tooth sensitivity to cold, hot, or sweet foods
- Sharp or occasional pain, especially while chewing
- Rough or uneven tooth surfaces you can feel with your tongue
- Bad breath or a strange taste that doesn’t go away
- Discolouration, like brown, black, or white spots
- Food is getting stuck in the same area repeatedly
- Mild gum irritation around one tooth
- Spotting these early signs helps prevent more severe decay and keeps treatment straightforward.
Restore Your Smile with Quality Dental Fillings in Nizampet
- Personalised Care for Every Patient Your treatment is carefully planned to address your specific tooth condition, comfort level, and long-term oral health needs.
- Clear and Honest Pricing You’ll always know the cost before we begin, with no hidden charges or unexpected add-ons.
- Easy Payment Support We offer EMI plans and flexible payment options to make your treatment easier to manage.
- Simple and Fast Appointments Select a time that suits you and book instantly through our online system.
- Cost-Effective Dental Fillings in Hyderabad Enjoy long-lasting, aesthetic restorations that protect your teeth without straining your budget.
- Dedicated Aftercare and Guidance We follow up to ensure your filling settles well and your tooth stays strong and healthy.
Why Choose Dr White Dental Care Fillings in Nizampet?
- Specialists in Routine & Advanced Dental Fillings Our experienced dentists deliver dependable, high-quality care using the latest restorative techniques.
- Advanced Technology for Pain-Free Precision We use state-of-the-art equipment to ensure treatments are accurate, efficient, and virtually pain-free.
- Personalised Care for Every Patient Each treatment plan is thoughtfully customised to suit your unique dental needs and comfort.
- Affordable, High-Quality Fillings Enjoy competitive pricing without compromising on materials, aesthetics, or long-term results.
Happy Patient Reviews
Google 2025-02-16
Tooth Filling Cost
| Type of Filling | Estimated Cost (INR per tooth) |
| Amalgam (Silver) | ₹500 – ₹1,200 |
| Composite Filling Cost (Tooth-Colored) | ₹1,200 – ₹2,500 |
| Nano Composite | ₹1,500 – ₹3,000 |
| GIC (Glass Ionomer Cement) | ₹800 – ₹1,800 |
| Ceramic / Porcelain | ₹4,000 – ₹8,000 |
| Gold Filling | ₹8,000 – ₹20,000+ |
Factors That Influence the Cost
- Type of Filling Material Options such as composite resin, amalgam, ceramic, or gold vary in durability, appearance, and price, which can influence the overall cost.
- Cavity Complexity The size, depth, and location of the cavity affect the level of involvement in the treatment, which may increase or decrease the final fee.
- Clinic Expertise and Location Clinics with experienced dentists, advanced technology, and prime locations may charge higher fees, often reflecting the quality of care provided.
- Additional Procedures Costs may also include diagnostic X-rays, local anaesthesia, or preparatory steps like decay removal or tooth cleaning, depending on your individual needs.
Benefits of Dental Fillings
- Prevents Tooth Loss By stopping decay from spreading, fillings help protect your natural teeth and lower the chances of needing an extraction.
- Restores Normal Function A filling strengthens a damaged tooth so you can bite, chew, and speak comfortably again.
- Enhances Appearance Tooth-colored materials such as composite and ceramic blend naturally with your teeth, improving your smile without visible dental work.
- Provides Long-Term Protection With proper oral care, modern fillings can last 10–15 years or more, offering strong and reliable restoration over time.
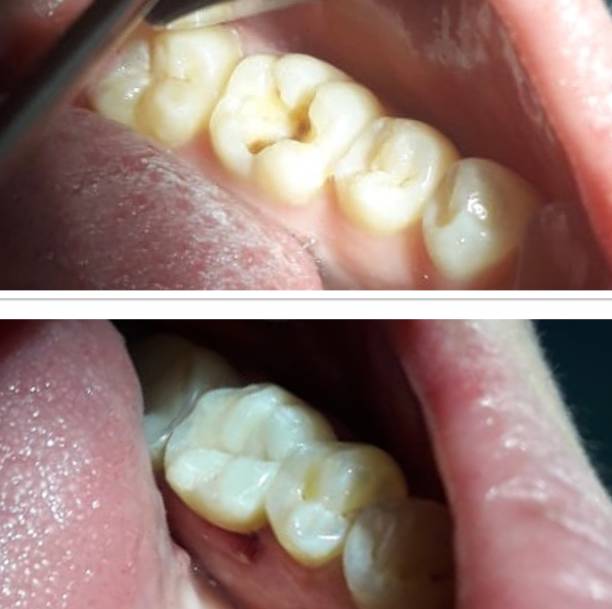
Dental Fillings Procedure
- Comprehensive Examination Your dentist examines the tooth and may take X-rays to determine the extent and exact location of the decay.
- Comfortable Anaesthesia A local anaesthetic is applied to numb the area, so the entire procedure feels smooth and pain-free.
- Removal of Decay The decayed portion of the tooth is gently cleaned out, leaving a healthy foundation for the restoration.
- Placement and Shaping of the Filling The selected material, composite, amalgam, ceramic, or gold, is placed into the prepared cavity and shaped to match your natural tooth.
- Polishing and Bite Check The filling is polished for a clean, smooth finish, and your bite is adjusted to ensure proper alignment and comfort.
Aftercare for Dental Fillings
- Avoid Hard Foods Refrain from chewing hard items such as ice, nuts, or hard candy to protect your new filling.
- Maintain Excellent Oral Hygiene Brush twice daily with fluoride toothpaste and floss regularly to keep both your teeth and fillings clean and decay-free.
- Schedule Regular Dental Check-Ups Routine visits allow your dentist to monitor the condition of your fillings and overall oral health.
- Monitor for Unusual Symptoms If you experience sensitivity, discomfort, or pain after a filling, contact your dentist promptly for evaluation.
Types of Dental Fillings
| Type of Filling | Average Durability | Notes |
| Amalgam (Silver) | 10 – 15 years | Very strong, ideal for back teeth |
| Composite (Tooth-Colored) | 7 – 10 years | Natural look, good strength, may wear faster under heavy biting |
| Nano Composite | 10 – 12 years | Enhanced strength and better wear resistance |
| GIC (Glass Ionomer) | 5 – 7 years | Releases fluoride, suitable for kids and non-load-bearing areas |
| Ceramic / Porcelain | 12 – 20 years | Highly durable, stain-resistant, premium aesthetic option |
| Gold Filling | 20+ years | Exceptional longevity, very strong, premium choice |
Why Choose Tooth-Colored Composite Fillings?
Conclusion
FAQ
It usually ranges from ₹3,600 to ₹7,500, depending on the material and size of each cavity.
A single dental crown can cost anywhere from ₹4,000 to ₹18,000, depending on the type (metal, ceramic, zirconia).
Amalgam fillings are generally the most affordable. Composite fillings cost slightly more but look natural.
No. With local anaesthesia, the procedure is usually quick and pain-free. You may feel slight pressure but no discomfort.
The most economical option is typically amalgam (silver) fillings.
Delaying a filling can lead to:
- Larger cavities
- Tooth pain
- Infection
- Need for a root canal or a crown later.
Treating early is always easier and cheaper.
For most patients, composite (tooth-colored) fillings are the best mix of aesthetics, strength, and safety.
A filling can last 7 to 15 years, depending on the material, oral hygiene, and bite forces.
Costs depend on:
- Material quality
- Cavity size
- Dentist’s expertise
Use of advanced equipment
Higher-quality fillings last longer and protect the tooth better.
Fillings are usually one of the most affordable dental treatments. Prices start around ₹500–₹1,200 for basic options.
Gold and ceramic fillings are the costliest due to their durability and custom fabrication.
Treat problems early. Small fillings and preventive care are always the most cost-effective approach.
The cost ranges from ₹500 to ₹4,000 per tooth, depending on size and material.
Small gaps may be closed with composite bonding, which is usually the most budget-friendly option.
Most fillings are budget-friendly, especially compared to treatments like crowns or root canals.
Gold fillings can cost ₹8,000 to ₹20,000+, depending on size and gold content.